Kontakt / contact     Hauptseite / page
                  principale / pagina principal / home     zurück
                  / retour / indietro / atrás / back
ESP 

Merkblatt: Heilwirkung von Borax und Bor (Borax-Heilwasser)

Arthritis, Artrose, Gelenkschmerzen, Osteoporose, Krebs, Psoriasis, Rosazeae, Impotenz, Augen, Hirn und Gedächtnis, Candida, Fusspilz, Vaginitis etc.

Das Mineral Borax heilt Arthritis, Artrose, Gelenkschmerzen, Osteoporose, Krebs, Psoriasis, Rosazeae, Impotenz, Augen, Hirn und Gedächtnis, Candida, Fusspilz, Vaginitis etc.  -- Bor und seine Funktionen im Körper -- Die Einnahme von Borax -- Die Heilungen mit Borax: Arthritis, Artrose, Gelenkschmerzen, Osteoporose, Krebs, Psoriasis, Rosazeae, Impotenz, Augen, Hirn und Gedächtnis, Candida, Fusspilz, Vaginitis etc.  -- Die Heilungszeit mit Borax: 2 Tage bis 3 Monate -- Die kriminell-korrupte EU verbietet Borax im Jahre 2010, um die Gift-Pharama-Industrie zu schützen (!): Die Intrige in Brüssel gegen Borax -- Weltweite Intrige gegen Borax -- Appell: Sich nichts verbieten lassen, was natürlich ist - die Pharma soll endlich auf Naturmedizin umstellen

Borax in der Packung  Borax auf dem
                Teelöffel, die Dosis für 1 Liter Heilwasser
Borax in der Packung [1] - Borax auf dem Teelöffel, die Dosis für 1 Liter Heilwasser [2]

von Michael Palomino (2017)

aus: Walter Last: Inverview: Die Borax-Verschwörung: "Das Aus für die Arthrose-Heilung"
https://einfachemeditationen.wordpress.com/2013/07/13/borax-ein-lebenswichtiges-metall-bewirkt-wunder-in-der-richtigen-dosierung/

Teilen / share:

Facebook







Das Mineral Borax heilt Arthritis, Artrose, Gelenkschmerzen, Osteoporose, Krebs, Psoriasis, Rosazeae, Impotenz, Augen, Hirn und Gedächtnis, Candida, Fusspilz, Vaginitis etc.

Bor und seine Funktionen im Körper

Borax enthält Bor. Man kauft es in den Metallwarenhandlungen, denn die Schweisser brauchen es zum Löten. In hohen Konzentrationen kommt Borax in Holzschutzmitteln vor gegen Pilze und Ungeziefer - also insgesamt eine eher niedrige Giftigkeit. In schwachen Konzentrationen dagegen ist Borax ein STARKES HEILMITTEL. Und das funktioniert so:

Borax in der Packung
Borax in der Packung [1]

Das Element Bor reguliert die Hormone der Nebenschilddrüse. Bor kommt in der natürlichen Bio-Nahrung in Früchten und Gemüsen vor, wenn sie ohne Pestizide und ohne chemische Dünger gewachsen sind. Mit chemischem Dünger nehmen die Pflanzen praktisch kein Bor aus dem Boden auf. Und wenn Pestizide eingesetzt werden, haben die Pflanzen mehr Gifte als Mineralien. Wenn nun Bor im Körper fehlt, dann beginnt die Nebenschilddrüse mit einer Hyperaktivität und kann sich nicht mehr beherrschen. Sie schüttet falsche Hormone aus und die bewirken
1) dass Kalzium aus Knochen und Zähnen herausgelöst wird
2) dass Kalzium sich überall im Körper ablagert, in Organen und Blutgefässen und so die Organe, Gelenke und Blutgefässe verkalken.

Somit kann das Mineral Borax mit Bor alle Krankheiten heilen, die wegen Kalzium und Verkalkungen an falschen Orten entstehen, und das Verhalten der Nebenschilddrüse wird korrigiert. Das Kalzium kommt wieder an die Stellen, wo es hingehört: in die Knochen und in die Zähne.

Die Einnahme von Borax

Das Mineral Borax mit Bor nimmt man mit 1/8 Teelöffel Borax auf 1 Liter Wasser ein. So entsteht ein Heilwasser. Man nimmt es den Tag hindurch schluckweise ein (5 Tage lang nimmt man es, dann 2 Tage Pause, um die Nieren zu schonen), bis die Störungen und Schmerzen im Körper aufhören etc. Mit dieser Dosis ist das Wasser wie eine Heilwasserquelle. Nebenwirkungen sind nur positiv!


Borax auf dem Teelöffel, die Dosis
                              für 1 Liter Heilwasser
Borax auf dem Teelöffel, die Dosis für 1 Liter Heilwasser
[2]

Die Heilungen mit Borax: Arthritis, Artrose, Gelenkschmerzen, Osteoporose, Krebs, Psoriasis, Rosazeae, Impotenz, Augen, Hirn und Gedächtnis, Candida, Fusspilz, Vaginitis etc.

Hier ist eine Liste mit Heilungen durch das Mineral Borax:


-- es setzt in Knochen und Zähne das Kalzium wieder ein, die Knochen werden stärker, weniger Knochenbrüche, Brüche heilen schneller, und Zahnschäden werden reduziert
-- putzt die Blutgefässe und Organe durch, indem alle Kalziumablagerungen und Verkalkungen beseitigt werden, somit
-- werden Arthritis, Artrose, Gelenkschmerzen und Osteoporosis (Knochenschwund, hohle Knochen) geheilt, auch Zähne werden stärker, und
-- es stabilisieren sich generell die Zellwände (Membrane) mit einer Wirkung gegen Krebs und Herzschwäche
-- es heilen auch die Hautzellen, so dass chronische Ausschläge wie Psoriasis und Rosazea im Gesicht verschwinden
-- es werden auch die Sexualhormone reguliert und Impotenz beseitigt
-- es gibt Hinweise, dass sich Augen, Hirn und Gedächtnis verbessern
-- der Erreger Candida im Magen heilt und der Magen heilt aus
-- Fehlbildungen von Geweben werden unterbunden [es könnte sein, dass Zysten heilen]

Wirkung gegen Pilze:
-- wenn Borax direkt auf die Fussflächen gerieben wird, verschwindet Fusspilz
-- wenn Borax in Kapseln in die Vagina eingeführt wird, heilen Pilzinfektionen der Vagina.

Artritis heilt mit
                      Borax  Gelenkschmerzen durch Artritis heilen mit
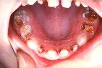
                      Borax  Knochenschwund (Osteoporose) heilt mit Borax  Karies
                      wird mit Borax vermindert 
Artritis heilt mit Borax [3] - Gelenkschmerzen durch Artritis heilen mit Borax [4] - Knochenschwund (Osteoporose) heilt mit Borax [5] - Karies wird mit Borax vermindert [6] -

Krebs heilt mit Borax  Herzschwäche heilt mit Borax  Psoriasis heilt mit Borax  Rosazea
                      heilt mit Borax
Krebs heilt mit Borax [7] - Herzschwäche heilt mit Borax [8] - Psoriasis heilt mit Borax [9] - Rosazea heilt mit Borax [10]

Impotenz heilt mit Borax  Augen
                      werden durch Borax gestärkt  Das Hirn
                      wird durch Borax gestärkt  Das
                      Gedächtnis wird mit Borax gestärkt  Candida
                      heilt mit Borax weg
Impotenz heilt mit Borax [11] - Augen werden durch Borax gestärkt [12] - Das Hirn wird durch Borax gestärkt [13] - Das Gedächtnis wird mit Borax gestärkt [14] - Candida heilt mit Borax weg [15]

Wahrscheinlich heilen mit Borax Zysten
                      weg  Fusspilz verschwindet mit Borax  Vaginapilze verschwinden mit Borax
Wahrscheinlich heilen mit Borax Zysten weg [16] - Fusspilz verschwindet mit Borax [17] - Vaginapilze verschwinden mit Borax [18]

So heilt Mutter Erde eben fast alles, und das Fernsehen und die Bibel heilen NICHT.


Die Heilungszeit mit Borax: 2 Tage bis 3 Monate

Man nimmt das Heilwasser 5 Tage lang ein und macht dann eine Pause von 2 Tagen, um die Nieren nicht zu überlasten. Diesen Rhythmus behält man bei, bis die Schmerzen vorbeisind.

Die Heilungszeit einer Borax-Kur kann sehr verschieden sein. Bei leichten Gelenkschmerzen mit Artritis im Anfangsstadium kann die Heilung schon nach 2 bis 3 Tagen eintreten. Bei einer langjährigen Artritis braucht es 2 bis 3 Monate.

Es kann sein, dass sich die Beschwerden zuerst verschlimmern, weil Pilzgifte von abgetöteten Erregern im Körper herumschwimmen, die dann ausgeschieden werden. Bei der Heilung einer langjährigen Artritis kann es sein, dass vorübergehend die Nieren sehr belastet sind und Schmerzen verursachen. Da unterbricht man einfach die Kur, bis die Schmerzen vorbeisind und macht dann weiter.


Die kriminell-korrupte EU verbietet Borax im Jahre 2010, um die Gift-Pharama-Industrie zu schützen (!)

Die Intrige in Brüssel gegen Borax
In der korrupten Spinner-EU in Brüssel, die von Rothschild gesteuert wird, hat die Pharma die Brüsseler Politiker manipuliert. Sie haben Borax in den normalen Geschäften im Jahre 2010 verboten. Grundlage war EINE EINZIGE STUDIE mit falschen Daten von 1972. Warum ist diese Studie falsch? Dort wurde mit einer gigantischen Überdosis bewiesen, dass Föten von Ratten das Gewicht vermindern. Nun wird einfach gesagt: Was für Ratten gilt, gilt auch für Menschen, und die Überdosis sei nicht wichtig. Doch, das ist WICHTIG, denn jede Substanz in einer Überdosis sich in ein Gift verwandeln kann. Und der Zweck der Operation ist klar: Sie verweigern, alle anderen Studien zu berücksichtigen, die eine positive Heilwirkung von Borax beweisen, gegen Artritis, Artrose, Osteoporose, Fruchtbarkeit und Potenz generell usw. Die Spinner EU in Brüssel verbieten Borax, weil sie sich durch die Firmenleitungen der Gift-Pharma manipulieren lassen, man solle die Gift-Pharma schützen - so dass natürlich immer mehr Krankheiten provoziert werden, was immer mehr Gewinne mit sich bringt - immer mit der politischen Argumentation, dass die Gift-Pharma Arbeitsplätze schaffe. Sie wollen einfach keine schadlosen, anderen Produkte herstellen... [web01]

Weltweite Intrige gegen Borax
Es ist sogar noch schlimmer: Die korrupte EU in Brüssel und die Rothschild-Weltregierung in London (mit dem Komitee der 300) wollen Borax weltweit verbieten, um die Gift-Pharma vor den einfachen Borax-Heilungen zu schützen. Sie manipulieren die WHO (ist de facto eine Organisation des Impftäters Bill Gates), sie manipulieren Wikipedia-Artikel, sie manipulieren Regierungen etc.

Appell: Sich nichts verbieten lassen, was natürlich ist - die Pharma soll endlich auf Naturmedizin umstellen
Mein klarer Appell gilt der ganzen Welt: Retten Sie sich vor der Gift-Pharma, die Gift-Pharma soll endlich auf unschädliche, neue Produkte umstellen, und wenden Sie die natürlichen Heilungen von Mutter Erde an, und lassen Sie sich nichts verbieten, was natürlich ist, weder das Borax noch andere Naturheilmittel. So kann man viel Geld für andere Produkte sparen.

Teilen:

Facebook






Quellen
[web01] de: Walter Last: entrevista: la conspiración de Borax (original alemán: Interview: Die Borax-Verschwörung: "Das Aus für die Arthrose-Heilung");
https://einfachemeditationen.wordpress.com/2013/07/13/borax-ein-lebenswichtiges-metall-bewirkt-wunder-in-der-richtigen-dosierung/


Fotoquellen
[1]: Borax in der Packung: Foto von Michael Palomino
[2] Borax auf dem Teelöffel, die Dosis für 1 Liter Heilwasser: Foto von Michael Palomino



 ^